티스토리 뷰
걸을 때 불편한가? 편한가? 먼저 생각해 보는 것이 좋습니다. 왜냐하면 사람들은 아프니깐 그 익숙함에 속하서 아픈 것을 까먹기도 하고 익숙함에 정상적으로 고칠 수 있는 방법들은 시기들을 놓쳐서 수술로 진행되기도 합니다. 그래서 초기 치료가 가장 중요한 것 같습니다.
옛날부터 어른들이 아프면 병원을 가라고 하시는 말씀들이 다 아픔에서 나오는 이유인 것 같습니다.
지금의 저는 무지외반증 2기가 현재는 3기 정도로 진행되고 있어서 걸을 때 이제야 불편하다고 느껴서 실리콘 교정기, 무지외반증 교정기, 개구리 발가락, 엄지발가락 스트레칭 등 여러 가지를 몇 개월 동안 지속하고 있습니다.
무지외반증 초기는 엄지발가락 근육 강화, 자세 교정, 실리콘 착용 등 다양한 방법들로 개선이 되지만 저는 너무 늦은 상태에서 발악을 했던 것 같습니다.
👉이번 병원을 가서 팔자걸음의 원인 중에 새로운 사실을 발견했습니다. 바로 비복근근육이 짧아서 팔자걸음이 생긴 것입니다. 쉽게 말하면 아킬레스 근육과 종아리 근육이 짧아서 팔자걸음이 생긴 이유입니다.
👉더 쉽게 말하자면 걸을 때 뒤꿈치부터 닿아야 되는데 닿지 못하고 오른쪽 뒤꿈치가 먼저 닿는 경우입니다. 이 부분이 아킬레스 건이 짧아서 생기는 경우들입니다.
저의 무지외반증 개인적인 이유는 다음과 같습니다.
👉볼이 넓은 상태에서 구두를 신고 활동적인 일을 많이 해서 후천적으로 생긴 경우
👉볼이 넓고 팔자걸음으로 인해 후천적인으로 생긴 경우
👉하루에 8시간 ~ 12시간 이상을 걸어 다니면서 영업활동을 통해 몸의 과부하가 걸린 경우
바로 팔자걸음이 오는 신호에서부터 몸의 변화가 안 좋게 변하기 시작했던 것 같습니다. 팔자걸음이 갑자기 심해진 경우는 성장기 때인 것 같습니다. 그렇게 15년 이상을 살다 보니 자연스럽게 무지외반증도 후천적으로 생겼 던 것 같습니다.
그래서 저는 팔자걸음과 무지외반증이 심해져서 수술을 결심하게 되었습니다.
👉다들 팔자걸음 또는 무지외반증이라면 편한 운동화, 그리고 걷는 방법, 걸음걸이, 깔창 전부 신경 써야 됩니다.
👉다양한 정보들을 알고 싶다면 아래 링크를 클릭하면 좋다.
목차

1. 무지외반증 원인 및 증상
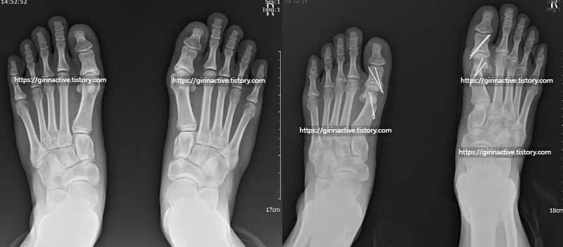
무지외반증은 엄지발가락이 둘째 발가락 쪽으로 심하게 휘어지는 현상을 의미합니다. 첫 번째로 엄지발가락이 두 번째 발가락 쪽으로 " / " 관절이 기울어서 점점 엄지에서 새끼발가락 쪽으로 휘는 경우입니다.
👉두 번째로는 엄지발가락 관절이 밖으로 돌출된 상태를 의미하고 있습니다. 이 증상이 심할 경우, 엄지발가락이 둘째 발가락과 엇갈리는 정도까지 돌아가기도 합니다.
특히 앞이 좁고 굽이 높은 신발을 자주 신는 여성에게 잘 발생하며, 남자의 같은 경우 발볼이 넓으신 분들이 구드를 신을 때 발생하는 "족부 질환"입니다.
무지외반증이 발생하는 것 중에 유전적 소인과 후천적인 요인 복합적으로 작용하고 있습니다. 유전적으로 평발, 발 볼이 넓은 경우, 무지 외반증이 발생하기 쉽습니다.
👉저 같은 경우는 선천적으로 볼이 넓은 사람이 좁은 구두를 오랫동안 신고 오랜 영업활동으로 인해 무지외반증이 빨리 왔다고 보면 될 것 같습니다.
👉그리고 아킬레스 건이 짧아 걸을 때 뒤꿈치가 골고루 닳아야 되지만 바깥 부분만 닳은 게 또 다른 원인인 것 같습니다.
후천적으로는 볼이 좁고 굽이 높은 신발을 자주 신는 여성의 경우와 발 볼을 고려 안 하고 폭이 좁은 운동화나 구두를 신은 남자의 경우가 무지외반증에 걸릴 위험성에 노출되고 있습니다.
👉그렇기 때문에 우리는 스트레칭과 집에서 자세교정이 종종 필요한 이유들입니다.
무지외반증의 증상은 엄지발가락이 둘째 발가락 쪽으로 휘어지고 관절이 안쪽으로 돌출되어 육안으로 보이는 것에 따라서 1기부터 4기까지 볼 수 있습니다. 돌출된 관절은 서 있거나 걸을 때 자극을 받아 빨개지고, 이에 따라 굳은살, 염증, 통증이 발생합니다.
👉걸을 때 신체를 지지하고 추진력을 주어야 하는 엄지발가락이 제 역할을 하지 못하기 때문에 발의 다른 부위에도 통증이 발생합니다.
무지외반증이 심해지면 발 모양 변형, 허리 통증, 골반변형, 자세 변형 등이 나타납니다. 요즘 제가 헬스를 못 다니는 이유 중에서도 발가락 통증 때문이기도 합니다.
2. 무지외반증 교정 및 수술

✔동그라미를 그린 경우가 교정으로 무지외반증이 개선이 가능한 선입니다. 하지만 일자 선처럼 많이 휘어진 상태이고, 발바닥 부분에 (엄지와 검지 사이) 굳은살이 생긴 경우 또한 보행자 걸음 체크를 실시해서 개선 여부를 의사와 상담을 하셔야 됩니다.
👉무지외반증 초기는 간단한 스트레칭과 교정기로 개선이 가능합니다.
무지외반증 예방법
1. 예쁜 신발보다는 편리하고 가급적 볼이 넓은 신발을 신어서 발을 편하게 만들어 주는 것이 중요합니다.
2. 하이힐은 굽이 낮은(5cm 이하) 신발을 착용하고, 1~2시간 후에는 휴식을 취하면서 "개구리 발가락" 운동을 해주어 발가락을 스트레칭, 근육을 길러줍니다.
3. 평발의 경우 발바닥 내측을 지지해 주는 깔창을 깔면 도움이 됩니다.
👉맞춤 깔창, 에어워크깔창 등 을 추천합니다. (자기 발바닥에 맞는 깔창을 찾는 것이 중요합니다.)
4. 꾸준한 스트레칭과 따뜻하게 족욕을 자주 해 피로를 풀어주면서 스트레칭도 해주는 것이 중요합니다.
5. 아킬레스건 스트레칭을 해줍니다. (까치발 들고 1분, 내리기 1분)


무지외반증 교정기
무지외반증 교정기를 검색하고 있는 분들은 이미 발바닥의 상태가 많이 안 좋아져서 수술 대신 교정을 선택하는 경우가 많이 있습니다.
👉무지외반증 교정기와 실리콘 교정기를 병행하면서 스트레칭을 해주면 개선이 가능합니다.
무지외반증 교정기를 사용하여 엄지발가락 와 검지 발가락을 벌려주면서 교정을 해주시면 됩니다. 보통 잘 때 또는 하루 외출이 끝났을 때 교정을 해주면 됩니다.
👉무지외반증 교정기를 하기 전에 족욕이나 스트레칭을 하면서 발의 피로도를 덜어주는 것이 좋습니다.
👉양측 엄지발가락에 밴드를 끼고 벌려주는 스트레칭 하는 것도 좋습니다.
3. 사진 필터 없음 무지외반증 수술과 비복근 수술 후기

먼저 저는 2023년 1월 19일 목요일 오후 4시 30분에 수술을 들어갔습니다. 무지외반증 양발 수술과 비복근 수술 양쪽 종아리를 수술을 했습니다. (아킬레스건 = 종아리 근육)
수술시간은 대략 1시간 ~ 1시간 30분 정도 걸렸던 것 같습니다. 수술이 끝나면 무통주사와 진통제, 항생제를 2박 3일 동안 계속 맞으면서 퇴원은 했지만 수술 후 처음 눈을 뜬 상태에서 비몽사몽으로 보내서 아픈 줄 몰랐습니다.
아마도 무통주사 때문에 덜 아팠던 것 같습니다.
👉무지외반증 상태, 뼈의 상태에 따라 걸어도 안 아프신 분들이 간혹 계시지만 저는 뼈가 단단한 편이어서 통증이 더 있었습니다.
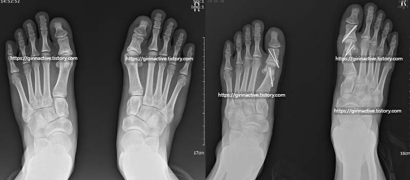
👉최소 침술이 아닌 절개를 통해 무지외반증 수술을 하였고 뼈 제거, 휜 엄지발가락 철심으로 고정했습니다.


저는 왼쪽이 심한 상태가 아니고 오른쪽이 심한 상태였습니다. 육안으로 확인해도 엄지발가락 쪽인 왼쪽으로 많이 휘었고, 엄지발가락 밖에 부분은 뼈가 자라고 있는 부분을 제거했습니다.
수술 후 드레싱 할 때 제 발가락, 발등을 보았을 때 휜 부분이 고정이 되어서 만족한 수술이었습니다.

수술하고 나오면 위 의료기기 보조기구를 착용하고 나옵니다. 발가락 발톱 아직도 소독약이 묻어 있습니다. 수술 후 2주간은 샤워를 하지 못하니 참고하시면 좋을 것 같습니다.
👉개인적으로 첫날 무지외반증 수술 후 처음으로 화장실 갈 때가 가장 아팠습니다. 정형외과에 있는 전용 보조기구를 이용해서 갔지만 간병인이 없으면 정말 고생할 수 있으니 가족과 함께하시는 게 가장 좋습니다.
👉둘째 날이 되면 어느 정도 혼자 걸어 다닐 수 있게 되고 셋째 날부터는 대변기에 앉을 수 있는 수준으로 회복이 됩니다. 하지만 무지외반증 수술을 하시고 나서 철심이 휘지 않게 뒤꿈치로만 이동하셔야 됩니다.
👉만약에 한쪽 수술하고 다른 한쪽을 또 수술 걱정하시는 분들이 계시다면 한 번에 하시는 것을 추천합니다. 그렇게 아픈 통증이 아니라 참을 수 있는 통증입니다. 개인적으로 맹장 수술, 탈장 수술보다 아프지 않았습니다.


무지외반증 수술을 하면 양발에 깁스 같은 캠워커 같은 보조기구를 착용합니다. 캠워커를 착용 후에 뒤꿈치로 걷다 보니 화장실, 일상생활 하는 것에는 문제가 없습니다. 두발이 진행 때문에 고민이신 분들은 다시 한번 한 번에 끝내는 걸 추천해 드립니다.
👉병원에서 나오는 기본 의료기기 보조기구는 가볍지만 걸을 때 쿠션이 없어서 발바닥이나 뒤꿈치가 아픕니다.
의료기기에서 살 수 있는 캠워커라는 보조기구는 무겁지만 걸을 때 쿠션이 있어서 발바닥이나 뒤꿈치 통증이 위 제품보다 덜 하니 참고하면 좋을 것 같습니다.

무지외반증은 위쪽 사진처럼 최소침습 수술법과 심한 분들은 저처럼 절개해서 교정 후 철심을 박는 경우가 있습니다. 제 경우는 심한 편이어서 나중에 저는 철심제거 수술까지 진행했습니다.


수술하고 2일 차 드레싱한 모습입니다. 20일 금요일 드레싱, 21일 토요일 드레싱 하고 퇴원했습니다. 양측 무지외반증 수술, 양측 비복근 수술로 아플 줄 알았지만 사실은 버틸만하게 아픈 정도였습니다.
👉정말 신기하게도 무지외반증 수술을 첫날을 제외하면 전부 버틸만했고, 집에서도 캠워커를 착용하고 돌아다니고 있고 간단한 일상생활은 가능하나 운전, 외출 등은 피해 주시는 게 좋을 것 같습니다.
👉그리고 저는 아까 말씀드렸다시피 비복근수술을 양쪽을 수술을 받았는데 무지외반증에 비하면 하나도 아프지 않은 편인 것 같습니다.

비복근 수술 (아킬레스건 구축)은 조금 걷다 보면 종아리가 붓고 당기는 수준이지 통증은 전혀 없는 것 같습니다. 비복근만 수술하신다면 일상생활은 지장이 전혀 없을 것 같습니다.
4. 무지 외반증 예방 방법
먼저 무지 외반증을 예방하기 위해서는 기본적인 원인부터 줄여줘야 됩니다. "발의 부담을 줄이기" 서있을 때에 발목, 발바닥, 발가락 쪽이 부담이 가지 않게 해 주셔야 됩니다.
신발을 신을 때 굽이 높거나, 앞쪽이 좁은 신발은 피해 주셔야 되고, 발가락이 조이지 않고 슬리퍼처럼 편한 신발들을 신어야 됩니다.
👉위에 사진들을 보시면 아시겠지만 "저는 볼이 넓은 편이고, 어렸을 때는 이쁘고 신발, 좁은 구두를 신었고, 선천적으로 볼이 넓지만 앞쪽이 좁은 신발들을 신었고, 현재 지금은 영업사원으로 8년은 근무하면서 12시간 이상 구두만 신어서 무지외반증이 걸린 것 같기도 합니다.
하지만 이제야 알게 된 것 같습니다. 가장 중요한 것은 "발의 편안함" 이였다는 것을 이제야 알았습니다. 지금 다리가 아파서, 발가락이 아파서 이 글을 보는 분들이 계시다면 생각하기 바랍니다.
여러분도 젊고, 발 모양이 이쁘다고 해서 안전하지 않습니다. 바로 지금 생활습관과 꾸준한 스트레칭, 발의 피로도를 낮춰 주는 것도 좋을 것 같습니다.
👉피곤하다고 해서 그냥 씻고 바로 자는 습관들을 고치고, 발 스트레칭을 잘해주시고, 뼈 건강을 잘 챙기면 좋을 것 같습니다.
개인적으로 가장 괜찮았던 것은 앞서 위에서 예방법을 말씀드렸다시피 가장 좋은 것은 "아킬레스건 스트레칭 (까치발 들기), 아니면 "실리콘 교정기", "깔창" , 족욕, 자가 도수치료"를 가끔씩 해주시면서 예방을 해주시는 것이 가장 좋을 것 같습니다.
뼈 건강, 무지외반증 건강, 모두 젊었을 때 꾸준히 관리하면 노후가 편하지 않을까 싶습니다.
👉다양한 정보들을 알고 싶다면 아래 링크를 클릭하면 좋다.
👉바른 자세, 팔자걸음 고치는 법을 알고 싶으신 분은 아래 링크를 클릭해 주시면 도움이 될 것 같습니다.👇
걷는자세가 팔자걸음이라면 늦기 전에 한번 생각해 봐야 됩니다.
현대인의 걸음자세는 다양한 사람들이 모여서 다양한 자세로 걸음걸이를 하고 있습니다. 하늘을 보면서 걷는 사람, 고개를 푹 숙이고 땅을 보면서 걷는 사람, 핸드폰을 보면서 걷는 사람, 자기
xn--ok0ba064b30gp5szep28h.com
당신의 전립선은 건강하시나요? 소변 줄기가 예전만큼 못할까
어는 순간부터 눈치가 보이기 시작했어요. 우리가 나이가 들면 옛날처럼 소변 줄기가 시원하게 나오지 않습니다. 다 그런 것은 아니지만 다소의 사람들한테 나오는 증상입니다. 우리 한번 어렸
xn--ok0ba064b30gp5szep28h.com
먹는 탈모약 효과 및 성분(일반의약품, 건강기능식품)
안녕하세요 이기린입니다.블로그 시작한 지 얼마 안 됐지만 탈모약에 대한 검색이 많은 거 같아 하나 더 추가적으로 글을 올려 드립니다. 저번 블로그에도 탈모의 원인들을 말씀드렸는데요. 다
xn--ok0ba064b30gp5szep28h.com
탈모 치료제 미녹시딜, minoxidil 로 관리하자
안녕하세요. 이기린입니다. 예전 또는 옛날이랑 비교했을 때 우리 머리카락이 달라진 것을 느낄 수 있을 수 있습니다. (고등학생 때 머리숱과 지금의 머리숱은 차이가 많이 있는 것 같습니다.)
xn--ok0ba064b30gp5szep28h.com
5. 무지 외반증 및 아킬레스건 구축 수술 후기사진 12일 차






개인적으로 병가나 휴가, 집에서 쉴 수 만 있다면 무지외반증, 아킬레스건 구축이든 양측을 수술하는 것이 몸에 좋을 것 같다. 왜냐하면 한 번의 고통은 참을 수 있지만 두 번의 아는 고통은 참기 어려 울 것 같다.
사랑니 뽑은 것보다 솔직히 놀랍게도 아프지 않다.
'기타 외 유용한 생활정보' 카테고리의 다른 글
| 이것만 알면 덤탱이 없이 비행기 숙소를 한방에 (0) | 2023.02.07 |
|---|---|
| 한글 영문 코로나 백신 발급하는 방법 해외여행 필수나라 알기 (0) | 2023.01.28 |
| 팔자걸음 안짱걸음 찾아오는 몸의 악영향 신호 알아보자 (0) | 2023.01.25 |
| 2023년 연말정산 환급금 조회 연말정산 공제신고서 작성 팁 하는방법 (0) | 2023.01.05 |
| 2023년 자취생의 월세 연말정산 준비는 어떤 것이 있을까 ? (0) | 2023.01.04 |